1Dayセラミック治療(CEREC)
-
STEP
1- 診察と準備
- 歯科医師が診察を行い、修復が必要な歯を確認します。必要に応じて、虫歯の除去や歯の形を整えるための処置を行います。
-
STEP
2- 3Dスキャン
- 光学スキャナーを使用して、患者の歯と口腔内をスキャンします。従来の印象材を使用しないため、患者の不快感が軽減されます。
-
STEP
3- 設計
- スキャンデータをCADソフトウェアに取り込み、歯科医師が修復物の設計を行います。
設計の過程では、歯の形状、咬合関係(噛み合わせ)、色合いなどを細かく調整します。
-
STEP
4- 製造
- 設計が完了したら、データをCAMマシンに送信し、セラミックブロックから修復物を削り出します。
このプロセスは最短で10分弱程度で完了します。
-
STEP
5- 装着
- 完成した修復物を患者の歯に試適し、必要に応じて微調整を行います。適合が確認されたら、修復物を接着剤で固定します。
型取り不要、最短1日で治療が完了できる機器 「セレック」を導入しております。
当院ではセレックを使用して審美治療を行っています。
セレック(CEREC)とは、新しい技術で白い歯を作る機械です。
今までは高価で時間もかかっていたセラミック治療が、白い歯の中では低価格でなおかつ、最短1日でできてしまいます。
セレックを使用して作った歯は、一つのセラミックブロックを機械で削りだしていくものですから品質にばらつきがなく、長い間使っても色も変色しませんし、安定した品質を保ちます。
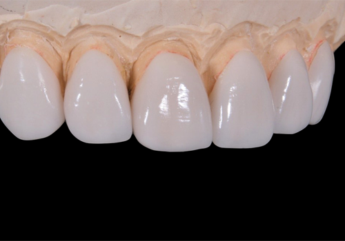
オールセラミック治療なので、金属を一切使わず長年使っても黒ずんだりすることがありません。また金属アレルギーの不安が絶対ありません。審美性にも比較的優れています。
1Dayセラミック治療(CEREC)の特徴
最短1日、スピーディー
今まででは1週間から10日程かかっていた技工物が最短でその日の間に完成します。
1度だけの通院で治療が完了することも可能ですので、患者さまの通院回数を減らすことが出来ます。(注、材質や形によりかかる日数は変わってきます。)
透明感があり、審美性が高い
セラミック材料は天然歯に近い見た目と質感を持ち、審美的な仕上がりが得られます。
セラミックは金属アレルギーになる心配もなく、年月を経ても色が変わりにくいのが特徴です。
精度が高く、むし歯の再感染率が低い
高精度なスキャンと製造技術により精密に歯の形を再現し、歯と接着をさせます。
しっかり歯と接着させますので修復物の適合性が高く、虫歯の再発もしにくいです。
丈夫で耐久性が高い
セラミックスは強度が高く、非常に丈夫な材質のため安心して、長く使用することができます。
これらの自由診療の治療の場合、仮に破損しても保証が効くので安心です。
1Dayセラミック治療(CEREC)の流れ
CERECを使用した治療の流れは、以下の通りです。
